Invisalign Şeffaf Plak Tedavisi nedir?
Dişlerinizin sıralanışını; estetik kaygılarla veya çiğneme fonksiyonunu iyileştirmek için düzeltmek istiyorsanız ve braket kullanmak istemiyorsanız şeffaf plaklar sizin için uygun bir yöntem olabilir.
Şeffaf plaklar kişiye özel olarak üretilir, tedavi aşamalarını ve ayrıntıları aşağıda bulabilirsiniz.
Günümüzde şeffaf plaklardaki teknolojik gelişim ile, tedavi edilebilecek vakaların sınırları geçmişe göre oldukça genişledi. Yine de hala bazı vakalar için metal braketler ve teller, altın standart olmaya devam ediyor. Her iki sistemin mekanik özellikleri farklıdır ve vaka için hangi tedavi seçeneğinin daha uygun olduğunu ortodonti uzmanı tayin edebilir. Bu aşamada eğitim, uzmanlık ve tecrübe önem kazanmaktadır.
Tüm ortodontik tedaviler öncesinde vaka planlaması yapılır. Tedavinizin stabil, yani kalıcı olması, elde edilen düzgün sıralanışın bozulmaması için en önemli aşama planlama aşamasıdır. Planlama, ortodontik tedavide özellikle öngörüyü kapsar ve bu da bu alanda uzmanlık sahibi ortodontistlerin diş hekimlerinden ayrıldığı noktalardan biridir. bir vakanın başarılı olabilmesi icin; özellikle cocuk hastalarda hastanın büyümesi sırasında olusan değisimler, iskeletsel yapı, yüz yumuşak dokusu ve profil, eklem (TME), periodontal dokular, kemik ve dişler beraber olarak değerlendirilir. Bu süreç en az 4 yıllık bir eğitim ve deneyim sonucu oluşan uzmanlık gerektirir. Uzman olmayan diş hekimlerinin şeffaf plaklar ile yapacağı tedaviler maalesef sizi stabil bir sonuca ulaştırmayacaktır.
Invisalign Plakları Nasıl Çalışır?
Dişlerinizin 3d taraması elde edilir,
Bu kayıt laboratuara gönderilir,
Doktorunuz bu kayıt üzerinde tedavi planlamasını şekillendirir,
Bu planlamaya göre plaklarınız üretilir ve gönderilir,
Doktorunuz gerekli ataçmanları klinikte yapıştırır ve plaklarınızı teslim eder,
Her 7-10 günde 1 plak değiştirerek diş hareketi sağlanır,
Diş hareketleri sonlandığında pekiştirme için klinik ortamında sabit retainer ve pekiştirme plaklarınız yapılır.
Pekiştirme tedavisi süresince dikkat edilecekler yine doktorunuz tarafından aktarılır.
Invisalign ile Tedavi Süreci nasıl İlerler?
- Randevuda fotoğraflar, röntgenler ve ağız içi tarayıcı cihaz ile dişlerinizin 3 boyutlu kaydı alınır.
Bu 3d model, invisalign laboratuarına gonderilir.

Ortodonti uzmanı doktorunuz, bu model üstünde tedavi planınızı oluşturur. Bu planlamada gerekliyse diş çekimi, gülümseme estetiği, orta hat, final overbite-overjet, diş pozisyonları, açıları, hareketleri ve ilave mekanikler planlanır. Unutulmamalıdır ki tedaviniz ortodonti uzmanınız tarafından planlanır, şirket tarafından değil, şirket sadece plaklarınızı üretir.
Bu tedavi planına göre plaklarınız üretilir. Plakların ulaşması, laboratuarın yurtdışında olması nedeniyle yaklaşık 4 haftaya bulabilir.
- Randevuda şeffaf plakların tutunacağı ataçmanlar dişlere yapıştırılır, gerekli uygulamalar ortodontist tarafından yapılır ve plaklar hastaya teslim edilir. plaklar 7-10 günde bir değiştirilerek tedaviye başlanır. Plakların diş hareketini sağlaması için günde 22 saat takılması gereklidir.
Tedavi boyunca plaklar etkili takıldığında sonuçlar hemen görülmeye başlar.
Plaklarımı günde kaç saat takmalıyım?
Plakların etkili olabilmesi için yemekler haricinde tüm gün plakların takılması gerekir. Bu da günde 22 saate denk gelir.
Plaklarımla yemek yiyebilir miyim?
Yemek yemeden önce plaklarınızı çıkarmalı ve kaybolmaması için kutusuna koymanız gerekir.
Plaklarımla içecek içebilir miyim?
Plaklarınızla sıcak içecekler içmemelisiniz, plaklarınızın sıcakla eğrilmesine neden olur. Koyu renkli içecekler de plaklarınızın renklenmesine neden olabilir.
YURTDIŞI HASTALAR IÇIN:
Yurtdışında yaşayan hastalarımız bu tedaviyi daha seyrek aralıklarla klinik ziyareti yaparak yürütebilirler.
- ilk randevuda kayıtlar alınır ( fotograf, röntgen, 3d scanning)
- 4 hafta sonra ataçmanların klinikte yapıştırılması için randevu verilir.
- Tüm plaklar takılıp diş hareketleri tamamlandığında, son randevuda ataçmanlar çıkarılır, lingual retainer ve pekiştirme plakları yapılır.
Tedavinin tamamlanması için en az 3 kez kliniğe gelmeniz gerekmektedir.
Daha zor vakalarda detaylandırma icin bir set plak daha istenebilir. bunun icin ekstra ücret talep edilmez, fakat yeni bir tarama icin ve yeni ataçmanların yapıştırılması için tekrar klinik ziyareti gerekir.
Eğer tedavinizin tahmini olarak hangi paketle gerceklestirileceğini merak ediyorsanız muayene randevusu alabilirsiniz. Yurtdışında yaşıyor iseniz bize detaylı ağıziçi fotoğraflarınızı gönderebilirsiniz. Size yaklaşık bir tedavi planı önerisi yapilabilir. Aşağıdaki formatta fotoğraflar gönderirseniz sağlıklı bir değerlendirme yapılabilir. selfiler bu iş icin uygun değildir, bu nedenle bir başkasından fotoğraflarınızı çekmesini isteyiniz.
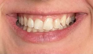
1. Ön Kapanış

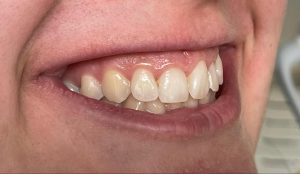
2. Sağ Kapanış

3. Sol Kapanış
4. Alttan dişlerin görünümü

Üst Çene

Alt Çene

